Sbiancamento dentale? Non affidarti a metodi fai da te! - Studio Dentistico Lucaferri

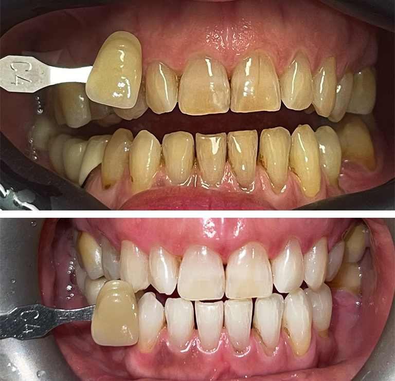
Primadopo

Sbiancamento dentale? Non affidarti a metodi fai da te!

Per lo sbiancamento dei denti è sempre meglio consultare il tuo dentista di fiducia. Il primo step è una visita preliminare: sai che a volte basta una pulizia professionale? Oppure se bisogna sbiancare, valutare i tuoi denti e le tue abitudini è fondamentale per scegliere la tecnica da utilizzare.

Ecco i 5 facili step per avvicinarti allo sbiancamento professionale:

  1. Vista preliminare
  2. Impronta ottica o tradizionale per fare i trays su misura
  3.  Ti spieghiamo come proseguire il trattamento in autonomia
  4. Ti forniamo il kit necessario creato per te
  5. Fai 2 settimane di trattamento e… sorridi con i tuoi denti bianchissimi!

Se hai poco tempo a disposizione – e il tuo caso lo consente – puoi effettuare lo sbiancamento con la lampada: viene applicato un gel sbiancante sui denti e successivamente viene utilizzata una lampada speciale che attiva il gel e contribuisce ad accelerare il processo di sbiancamento. In poco più di un’ora il trattamento è concluso.

Tuttavia, è importante ricordare che ogni persona ha un diverso colore naturale dei denti e che l’obiettivo non dovrebbe essere quello di avere denti “perfettamente bianchi”, ma di raggiungere un colore sano e luminoso che sia in armonia con il nostro aspetto individuale.